外泌體微觀世界
CELL MEDICINE TECHNOLOGY

以嚴謹科學為基礎的
細胞醫學研究

以 GTP 認證實驗室及 ISO Class 5 無菌隔離系統,專注外泌體與幹細胞研究開發,為再生醫學開創嶄新篇章。

ABOUT CELLER

關於芯妍生醫

芯妍生醫科技以「專業、嚴謹、創新」為核心價值,結合台灣頂尖的醫學與生技研發實力,專注於外泌體(Exosome)與幹細胞領域的研究開發。

我們以 GTP 規範實驗室搭配 ISO Class 5 等級 ISOLATOR 無菌隔離系統,建立從細胞培養、外泌體提取純化、品質檢測到冷凍乾燥的完整製程平台,確保細胞製劑的最高品質標準。

透過與國內頂尖醫學機構的深度合作,我們致力於將尖端的細胞醫學研究成果轉化為臨床應用,推動再生醫學的發展,為人類健康創造更多可能。

GTP

認證細胞製備場所

ISO 5

Class A 無菌隔離環境

TAF

ISO/IEC 17025 實驗室認證

UC-MSC

臍帶間質幹細胞來源

GTP 實驗室
研發團隊
細胞製造
品質檢測

RESEARCH AREAS

六大研究領域

以間質幹細胞為研究核心,涵蓋外泌體基礎科學、NK 免疫細胞療法與臍帶血造血幹細胞等前沿領域,以嚴謹的實證研究推動再生醫學發展。

間質幹細胞研究
MESENCHYMAL STEM CELLS

間質幹細胞研究

臍帶間質幹細胞具多功能性,可分化為骨細胞、軟骨細胞及脂肪細胞,表達低量 MHC 分子,具備低免疫原性及抗發炎特性,適用於異體移植與組織修復研究。

深入了解
外泌體基礎科學
EXOSOME SCIENCE

外泌體基礎科學

外泌體為直徑 30-150nm 的細胞外囊泡,由細胞主動分泌,內含蛋白質、mRNA、miRNA、DNA 及脂質等生物活性分子,參與細胞間通訊、基因調控與信號傳遞。

深入了解
臍帶血外泌體
CORD BLOOD HSCs

臍帶血造血幹細胞

臍帶血富含造血幹細胞(HSCs),具備自我更新與多譜系分化能力,可重建完整的造血與免疫系統。其歸巢機制與臨床移植應用為當前研究重點。

深入了解
NK 外泌體免疫學
NK EXOSOMES

NK 外泌體免疫學機制

NK 細胞為先天免疫系統成員,能進行非專一性毒殺作用,不受 MHC 限制,可直接誘導異常細胞凋亡。其外泌體攜帶穿孔素與顆粒酶,展現顯著的免疫調節潛力。

深入了解
臨床應用
CLINICAL APPLICATIONS

臨床應用研究

彙整國際臨床試驗數據,涵蓋神經退行性疾病、心血管疾病、關節修復、免疫疾病等領域,以嚴謹的統計分析展示外泌體與幹細胞療法的臨床應用現況。

詳細內容籌備中
醫療實用案例
MEDICAL CASES

醫療實用案例

客觀呈現臨床前動物模型與人體臨床觀察報告,以實證數據佐證外泌體在組織修復、抗發炎與神經保護等方面的研究成果。

詳細內容籌備中
間質幹細胞分化
幹細胞研究詳情

MESENCHYMAL STEM CELLS

間質幹細胞研究

Umbilical Cord Mesenchymal Stem Cells (UC-MSCs)

臍帶間質幹細胞(UC-MSCs)

臍帶間質幹細胞來源於臍帶組織中的瓦頓氏膠(Wharton's Jelly),屬於多功能間質幹細胞。具備強大的自我更新與多向分化能力,可分化為骨細胞(Osteocytes)、軟骨細胞(Chondrocytes)及脂肪細胞(Adipocytes)。

核心特性

多功能性:可向多種細胞譜系分化,具備組織工程與再生醫學的廣泛應用潛力

低免疫原性:表達低量 MHC-I 分子,不表達 MHC-II 及共刺激分子,適用於異體移植

免疫調節:透過旁分泌機制分泌多種細胞因子,調節 T 細胞、B 細胞及巨噬細胞功能

抗發炎作用:分泌抗發炎因子(IL-10、TGF-β),減少促炎因子表達,緩解組織損傷

研究應用領域

神經退行性疾病(帕金森氏症、阿茲海默症)、心血管疾病、關節軟骨修復、自體免疫疾病、皮膚再生修復等。

細胞來源鑑定標準

陽性表達:CD73+ / CD90+ / CD105+(間質幹細胞標誌)

陰性表達:CD45- / CD34- / CD14-(排除造血細胞污染)

EXOSOME SCIENCE

外泌體基礎科學

Discovery of Exosome — 細胞間通訊的關鍵媒介

什麼是外泌體?

外泌體(Exosome)是一種直徑約 30-150 奈米(nm)的細胞外囊泡,由細胞主動分泌,具有脂質雙層膜結構。其內含多種生物活性分子,包括蛋白質、mRNA、miRNA、DNA、脂質與醣類,是細胞間通訊的重要媒介。

形成與釋放機制

外泌體在細胞內的晚期內體(Late Endosome)中形成,經由多泡體(Multivesicular Bodies, MVBs)與細胞膜融合後釋放至細胞外環境。這個過程受到 ESCRT 複合物、Rab GTPase 家族蛋白及鞘脂類等多重分子機制的精密調控。

研究意義與應用潛力

間質幹細胞來源的外泌體可調節免疫反應、促進細胞增殖與分化,有助於受損組織的修復與再生。此外,外泌體可作為天然的奈米載體,應用於基因治療與標靶藥物傳遞系統的開發。2013 年諾貝爾生理學或醫學獎即授予對囊泡運輸機制的研究,彰顯此領域的重大科學價值。

外泌體結構

五項關鍵品質規格

1

粒徑範圍與分佈

直徑介於 30-150nm,以 NTA 及 DLS 分析粒徑均一度

2

顆粒數量(濃度)

定量分析每毫升顆粒數,高顆粒數不等同於高品質

3

標誌蛋白與結構驗證

CD9+ / CD63+ / CD81+ 表面標誌物鑑定,TEM 驗證脂質雙層結構

4

純度與不純物分析

區分外泌體與微囊泡(100-1000nm)及凋亡小體

5

檢測方法標準化

TEM、Cryo-EM、NTA、DLS、RPS、流式細胞儀等多平台驗證

臍帶血幹細胞
臍帶血研究詳情

CORD BLOOD STEM CELLS

臍帶血造血幹細胞

Hematopoietic Stem Cells (HSCs) from Cord Blood

臍帶血富含造血幹細胞(Hematopoietic Stem Cells, HSCs),具備自我更新能力與多譜系分化潛力,可分化為紅血球、白血球、血小板等所有血液細胞類型,重建完整的造血與免疫系統。

歸巢機制(Homing)

造血幹細胞移植後,HSCs 透過 SDF-1/CXCR4 軸的趨化作用,經由血液循環遷移至骨髓微環境中的特定生態位(Niche),完成歸巢並重建造血功能。此歸巢效率直接影響移植成功率。

臍帶血的獨特優勢

非侵入性採集:分娩時從臍帶採集,不會對母體或嬰兒造成任何傷害

低免疫排斥:免疫細胞較為幼稚,移植物抗宿主病(GvHD)發生率較骨髓移植低

高增殖潛力:HSCs 端粒長度較成人來源長,具備更強的自我更新與增殖能力

HLA 配對彈性:部分 HLA 不合的情況下仍可進行移植,擴大供體選擇範圍

NK CELL IMMUNOLOGY

NK 外泌體免疫學機制

Natural Killer Cell Exosomes — 先天免疫的精準武器

NK 細胞概述

自然殺手細胞(Natural Killer Cell, NK Cell)是先天免疫系統的核心成員,佔周邊血液淋巴細胞的 5-15%。NK 細胞能進行「非專一性毒殺作用」,不需經過抗原呈現即可辨識並攻擊異常細胞,不受 MHC 限制,能夠直接誘導標靶細胞凋亡。

NK 外泌體的毒殺機制

NK 細胞分泌的外泌體攜帶穿孔素(Perforin)與顆粒酶(Granzyme),可在不直接接觸標靶細胞的情況下,透過遠距離釋放方式誘導細胞凋亡。此外,NK 外泌體表面攜帶 FasL(Fas Ligand)與 TRAIL(TNF-related apoptosis-inducing ligand),可啟動標靶細胞的外源性凋亡路徑。

免疫調節功能

活化樹突狀細胞(DCs),增強抗原呈現能力

促進 T 細胞增殖與活化,強化適應性免疫反應

調節腫瘤微環境(TME),抑制免疫逃逸機制

適合異體細胞治療,應用於血液腫瘤與實體瘤研究

NK 外泌體機制
NK 細胞研究詳情

CORE TECHNOLOGY

細胞醫學技術雙軌策略

01

外泌體研究合作

Exosome Research Collaboration

以 GTP 規範實驗室及 ISO 5 等級 ISOLATOR 環境,從臍帶間質幹細胞(UC-MSC)提取純化高品質外泌體原料。保存型態為冷凍乾燥粉末,常溫保存可達 24 個月。

完整製程涵蓋細胞培養、外泌體萃取純化、TFF/SEC 多段純化、品質檢測、無菌充填及製藥級凍乾,確保每批產品的一致性與穩定性。

GTP 認證 TAF ISO/IEC 17025 ISO Class 5 冷凍乾燥
02

臨床研究合作

Clinical Research Partnership

與國內頂尖醫學機構合作,推動外泌體與幹細胞在多項疾病領域的臨床應用研究。合作範疇涵蓋實驗設計、IRB 倫理審查、臨床試驗執行及數據分析。

研究領域包括:缺血性中風的神經保護、關節軟骨修復、糖尿病併發症、自體免疫疾病等。以嚴謹的臨床前動物模型驗證與人體觀察研究,建立實證醫學信任基礎。

IRB 倫理審查 臨床試驗 醫學中心合作 實證研究
外泌體冷凍乾燥粉末

RESEARCH PRODUCT

外泌體冷凍乾燥技術

以臍帶間質幹細胞為來源,經過標準化培養、外泌體提取、多段純化及製藥級凍乾製程,產出高純度、高穩定性的外泌體冷凍乾燥粉末。

細胞來源

臍帶間質幹細胞(UC-MSC),瓦頓氏膠分離培養

保存型態

冷凍乾燥粉末,常溫保存可達 24 個月

外泌體標誌物

CD9+ / CD63+ / CD81+(ISEV 國際外泌體學會鑑定標準)

安全性驗證

MTT 92.1% 非刺激性、致敏性試驗陰性、急性毒性試驗無病變

QUALITY ASSURANCE

品質保證

從細胞培養到成品出廠,每一環節均遵循國際規範標準,以多重認證體系確保製劑品質的安全性與一致性。

GTP 認證

TP112C037
衛福部優良組織操作規範
認可細胞製備場所

ISO Class 5

ISOLATOR 無菌隔離系統
ISO 8 背景下維持
Class A 製造環境

TAF 認證

ISO/IEC 17025
實驗室認證
編號 L4146-240131

安全性驗證

MTT 92.1% 非刺激性
致敏性陰性
急性毒性無病變

VISION & MISSION

推動再生醫學的研究與轉化

芯妍生醫以嚴謹的科學態度與卓越的研發實力,致力於外泌體與幹細胞技術的基礎研究與臨床轉化。透過與醫學機構的深度合作,建立從實驗室到臨床的完整研究平台,為再生醫學的發展提供堅實的科學基礎。

30-150
nm 外泌體精準尺度
0
個月常溫保存期限
0%
MTT 安全性驗證

NEWS & UPDATES

訊息中心

學術研討會

2025.12

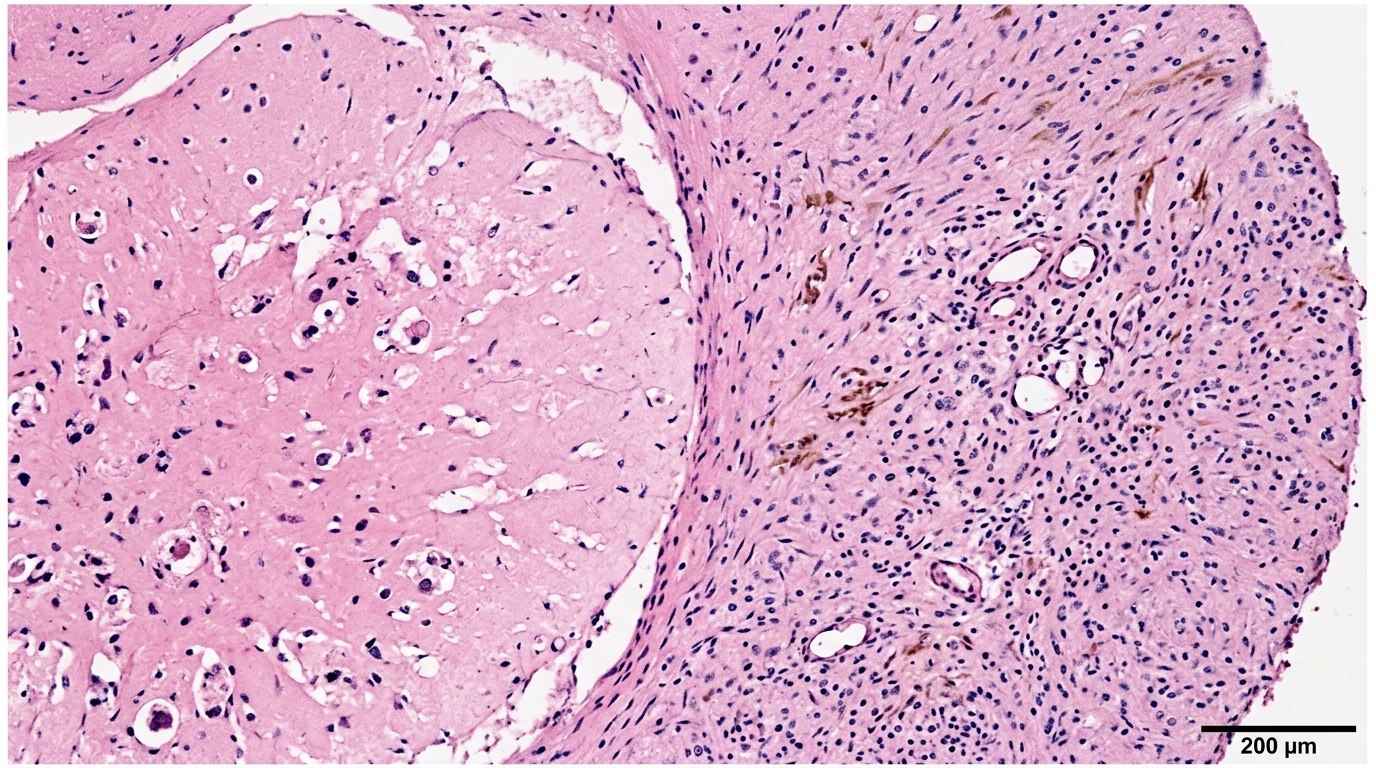
外泌體治療缺血性中風研究發表

與國家衛生研究院合作之外泌體神經保護研究成果,刊登於國際期刊 Cell Transplantation。研究證實 WJ-MSC 外泌體可有效縮小腦梗塞體積。

研究更新

2025.10

外泌體生物支架促進關節修復

與醫學中心合作研究外泌體結合 Cryogel 支架技術,在促進軟骨細胞生長、ECM 堆積與硫酸化醣胺合成方面展現優異成果。

TAF 認證

2025.08

取得 TAF ISO/IEC 17025 實驗室認證

芯妍生醫實驗室通過全國認證基金會(TAF)ISO/IEC 17025 認證,證實檢測能力符合國際標準,進一步提升製劑品質的公信力。

CONTACT US

聯絡我們

芯妍生醫科技股份有限公司

Celler Biomedical Technology Co., Ltd.

台北市內湖區行愛路77巷59號3樓
02-8792-0906
info@celler.com.tw